MTM of shimada-dent/case


HOME > MTM

エクストルージョン(矯正的挺出)

歯に被せ物をする際、歯ぐきよりも上に歯が残っていないと長持ちしませんし、歯が割れてしまう可能性も高くなります。

そこで簡単な装置を装着し、歯を引っ張り上げてきてから被せをします。

エクストルージョン 症例1

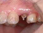
DSC_8989.JPG
①術前
前歯をぶつけて歯が折れてしまいました 歯ぐきの中に歯がある状態です

DSC_8996.JPG
②フック装着

DSC_9001.JPG
③仮歯および装置装着
かみ合わせの条件が良ければ、おもてから針金が見えないように装置を装着できます

DSC_9006.JPG
④裏側からみたところ
針金にゴムをひっかけて引っぱり上げています

DSC_9503.JPG
⑤牽引終了、外科処置後2週目
1ヶ月強で予定の位置まで引っぱり上げることができました
その際、歯ぐきと骨も一緒にあがってきますので簡単な外科処置が必要となります

DSC_9837.JPG
⑥土台を立てたところ
健全な歯質が歯ぐきより上にでました

DSC_9834.JPG
⑦保険にて被せ物を装着

エクストルージョン 症例2・3・4

sDSC_01.jpg
牽引前



ya30.gif

sDSC_02.jpg
牽引後

sDSC_03.jpg
牽引前



ya30.gif

sDSC_04.jpg
牽引後

1.JPG
牽引前



ya30.gif

2.JPG
牽引後